Заметили темное пятнышко или ощутили языком углубление в зубе? Это повод немедленно обратиться к стоматологу. Игнорирование проблемы чревато развитием осложнений, в то время как своевременный визит в клинику гарантирует ее быстрое и комфортное решение.

Что такое дырка в зубе?

С клинической точки зрения, дырка в зубе представляет собой кариозный дефект твердых тканей.

Полость в зубе – всегда симптом развивающегося кариеса, а не просто косметический дефект. То, что в быту мы называем «дырка», является видимым проявлением одной из распространенных стоматологических патологий – кариеса.

Это инфекционное заболевание, вызванное кислотообразующими микроорганизмами, разрушающими твердые ткани зуба. Процесс начинается со снижения рН в полости рта и деминерализации эмали, которая выглядит как белое меловое пятно. Если на этой стадии лечение не проведено, разрушение прогрессирует, затрагивая глубинные структуры зуба. Эмаль под действием кислот истончается, и образуется кариозная полость – та самая дырка, которая со временем увеличивается в размерах и углубляется, достигая дентина.

Почему появляются дырки в зубах?

Главный виновник формирования патологической полости в зубе – кариесогенные бактерии, активно размножающиеся при недостаточной гигиене и неправильном питании. 

Основная причина появления дырок – деятельность патогенов, таких как Streptococcus mutans и Lactobacillus, питающихся остатками богатой сахарами и углеводами пищи. К другим факторам, увеличивающим вероятность развития заболевания, относятся:

  • Неудовлетворительный уход за зубами: приводит к образованию стойкого налета, в толще которого колонизируется до 1000 видов микроорганизмов.
  • Избыток сладкого в рационе и частое перекусывание: сахароза – основная пища для бактерий, продуцирующих разрушительные кислоты.
  • Наследственность и состав слюны: естественная устойчивость эмали и защитные свойства слюны у всех людей различны.
  • Скученность зубов: затрудняет качественную очистку, создавая труднодоступные зоны, где кариес появляется чаще всего.
  • Особенности развития: у детей и подростков эмаль постоянных зубов менее минерализованная, что делает их более уязвимыми.

Как понять, что в зубе образовалась дырка?

Консультация стоматологаЗаподозрить проблему можно по потемнению эмали, застреванию еды в этой области или возникновению болезненной реакции на температурные и химические раздражители.

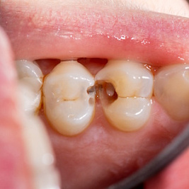
Как выглядит дырка в зубе? Самый очевидный признак – темное пятно или отверстие в пришеечной области, на жевательной или контактной поверхности зубной единицы. Но если дырка недоступна для самостоятельного осмотра, то нужно обратить внимание на:

  • скопление частиц пищи в одном и том же межзубном пространстве;
  • потерю гладкости у эмали;
  • устойчивый неприятный запах изо рта, возникающий из-за процессов гниения органических остатков в полости зуба.

Одним из основных симптомов может быть боль. Почему болит дырка в зубе? Причиной неприятных ощущений является разрушение твердых тканей, которое уже дошло до нерва (пульпы). В таком случае боль в зубе возникает от различного вида раздражителей или носит самопроизвольный характер – тогда она, как правило, возникает ночью. 

Что делать, если обнаружил дырку в зубе?

Если в зубе дырка и он болит, это говорит о развитии осложнения – пульпита. Первое, что нужно делать – незамедлительно записаться на прием к врачу.

При обнаружении кариозной полости нужно:

1) Хорошо, но аккуратно почистить зубы, удалив остатки пищи из образовавшегося углубления.

2) Использовать ополаскиватель, отвар ромашки или воду для антисептической обработки рта после еды.

3) Принять безрецептурный анальгетик, если есть болевые ощущения.

Усугубить состояние могут:

  • Прогревание больного места (усилит воспаление).
  • Попытки самостоятельно «выскрести» или «затромбировать» кариозное отверстие (повысит риск дополнительного инфицирования).
  • Прикладывание к зубу таблеток (вызовет химический ожог слизистой).

Самостоятельные действия – лишь временные меры, которые не остановят разрушение зубных тканей. Единственное верное решение в сложившейся ситуации – записаться на прием к стоматологу.

Как лечат дырку в зубе?

То, как и чем лечить дырки в зубах, определяет стоматолог после диагностики. Основной метод – удаление пораженных тканей с последующим пломбированием.

Тактика стоматологического вмешательства варьируется от укрепления эмали до ортопедического восстановления коронковой части зуба. Методы лечения в «СМ-Стоматология» выбираются в зависимости от стадии развития кариозного процесса:

  • При начальном кариесе выполняется восстановление эмали с использованием препаратов на основе Ca (кальция), P (фосфора) и F (фтора) — реминерализация.
  • Поверхностный, средний и глубокий кариес лечится путем удаления инфицированных тканей и пломбирования, микропротезирования вкладками и коронками.

Этапы установки пломбы:

1) Диагностика: осмотр, при необходимости – рентген-снимок для оценки глубины полости.

2) Анестезия: гарантия полного комфорта во время процедуры.

3) Очищение полости: удаление бормашиной всех инфицированных тканей.

4) Изоляция зуба: для защиты от влаги и слюны используется специальное полотно – коффердам.

5) Обработка антисептиком и наложение изолирующей прокладки при глубоком кариесе.

6) Восстановление анатомических бугров и фиссур зуба различными видами материалов: 

  • Световые пломбы: наиболее популярные, отличаются высокой прочностью и эстетикой. Материал затвердевает под действием специальной лампы, что позволяет врачу смоделировать зуб.
  • Стеклоиономерные цементы: имеют низкую токсичность, высокую прочность, удовлетворительные эстетические характеристики, обладают противокариозной активностью. Часто используются для пломбирования молочных зубов и в качестве изолирующей прокладки.
  • Компомеры: гибридные реставрационные материалы, сочетающие свойства композитов и стеклоиономерных цементов – прочность, хорошее сцепление и минимальное воздействие на ткани зуба.

7) Шлифовка и полировка пломбы для идеального прилегания и гладкости.

Дырку в переднем зубе лечат по тому же принципу, но с особым акцентом на эстетику. Восстановление фронтальной группы зубов требует применения композитных материалов премиум-класса, которые обладают идеальной светопропускной способностью и точно колорируются в тон натуральной эмали пациента.

Что будет, если не лечить дырку в зубе?

Лечение зубов под микроскопомБез вмешательства стоматолога инфекция будет углубляться, поражая нерв и корень зуба. 

Заболевание не просто причиняет дискомфорт, но и становится причиной развития тяжелых последствий при отсутствии терапии:

1) Пульпит: воспаление сосудисто-нервного пучка (пульпы). Проявляется острой, приступообразной болью. Лечение требует удаления нерва, обработки каналов и их пломбировки.

2) Периодонтит: инфекция выходит за пределы корня зуба в окружающие его ткани (периодонт). В области верхушки корня образуется гнойное воспаление или кистозное образование, возникает боль при надкусывании. Лечение сложное и многоэтапное.

3) Перфорация: при сильном истончении стенок зуба из-за кариеса может возникнуть нефизиологическое отверстие. Это серьезное осложнение, которое может потребовать хирургического вмешательства, например, резекции верхушки корня.

4) Потеря зуба: запущенный периодонтит и значительное разрушение коронковой части являются показаниями к удалению. Восстановление возможно только с помощью имплантации или мостовидного протеза.

Сколько стоит лечение дырки в зубе?

Цена формируется индивидуально, исходя из степени поражения и выбранной методики восстановления зуба. 

Стоимость лечения кариеса зависит от нескольких факторов:

  • Степени разрушения и расположения полости: лечение поверхностного кариеса экономичнее, чем глубоких или придесневых поражений. Восстановление контактной поверхности сложнее и требует больше времени.
  • Необходимость сопутствующих манипуляций: лечение пульпита (эндодонтия) оплачивается отдельно и включает работу с каждым каналом.
  • Выбор пломбировочного материала: реставрация светоотверждаемым композитом стоит дороже, но и результат долговечнее и эстетичнее.

Точную цену врач сможет назвать только после очного осмотра и диагностики.

Как в дальнейшем предотвратить появление дырок в зубах?

Профилактика кариеса основана на системном подходе, сочетающем ежедневную гигиену полости рта, регулярный мониторинг стоматологического здоровья и правильное питание.

Ключевыми элементами профилактики являются:

1) Качественная гигиена: чистка зубов дважды в день фторсодержащей пастой, использование зубной нити (флосса) и ирригатора.

2) Периодические профосмотры: плановое посещение стоматолога раз в полгода для выявления проблем на ранней стадии.

3) Профгигиена: процедура удаления зубного камня и налета в клинике 1-2 раза в год.

4) Сбалансированное питание: уменьшение количества быстрых углеводов и увеличение в рационе продуктов, богатых клетчаткой.

Своевременное обращение к стоматологу – залог сохранения здоровья зубов и вашего бюджета. Помните, современная стоматология в состоянии решить эту проблему быстро, эффективно и комфортно для пациента. Специалисты «СМ-Стоматология» готовы помочь вам, используя передовое оборудование и материалы. Позаботьтесь о здоровье своей улыбки сегодня, чтобы избежать серьезных проблем и затрат в будущем.

Экспертное мнение врача

Многие пациенты откладывают визит к врачу из-за страха перед болью или из-за того, что дырка маленькая и не беспокоит. Это большая ошибка. Чем глубже процесс, тем больше тканей придется удалить, и тем сложнее и дороже будет лечение. Заглушая боль таблетками, вы лишь маскируете симптом, в то время как внутри зуба идет активное разрушение, которое рано или поздно потребует уже не простого пломбирования, а лечения каналов или даже удаления нерва.

Вопрос и ответ

Обязательно. Отсутствие боли означает, что кариозный процесс, скорее всего, ещё не дошёл до нерва. Это идеальный момент для лечения: оно будет быстрым, безболезненным и недорогим. Боль появится, когда разовьётся пульпит, и тогда лечение усложнится в разы.

Нет, твёрдые ткани зуба (эмаль и дентин) не обладают способностью к самовосстановлению. Без вмешательства стоматолога дырка будет только увеличиваться.

Полоскание слабым раствором соды (1 ч. л. на стакан тёплой воды) — допустимая временная мера для уменьшения дискомфорта и очищения полости от остатков пищи. Оно оказывает лёгкий антисептический и противовоспалительный эффект. Однако это не метод лечения, а лишь гигиеническая процедура, которая не остановит разрушение.

Да, без вмешательства врача кариес прогрессирует, вызывая воспаление зубного нерва и поражение околокорневых тканей, что часто делает зуб нежизнеспособным.

Источники

Трухаткина С.А., Жданова Е.С. КАРИЕС ПОСТОЯННЫХ ЗУБОВ: ЭТИОЛОГИЯ, ЛЕЧЕНИЕ И ПРОФИЛАКТИКА // Вестник науки №1 (82) том 3. С. 1339 - 1343. 2025 г. ISSN 2712-8849

Кариес зубов: учебное пособие для студентов стоматологических факультетов медицинских вузов / С. Б. Фищев, А. Г. Климов, А. В. Севастьянов [и др.]. – Санкт-Петербург: СпецЛит, 2016.

Кариес: учеб. пособие / Е. Д. Костригина, М. В. Лебедев. ‒ Пенза: Изд-во ПГУ, 2023.

Федотова Ю.М., Мамиева А.А. ПРИЧИНЫ ВОЗНИКНОВЕНИЯ ПЕРФОРАЦИИ ЗУБОВ. // Международный студенческий научный вестник. 2016. № 6.



Предыдущая статья Следующая статья