Что такое дистопия зубов?
Дистопия зубов — это аномалия развития, при которой зуб прорезывается вне физиологически правильного положения. Он может располагаться снаружи или внутри зубного ряда, в области неба, щеки, языка, а иногда даже полностью погружаться в мягкие ткани или кость. Чаще всего подобное нарушение фиксируется у зубов мудрости, клыков и премоляров, реже — у молочных зубов.
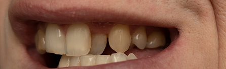
Неправильное расположение возникает в результате нарушения направления роста зубного зачатка или из-за нехватки места в ряду. Внешне дистопированный зуб может заметно выступать за границы соседних элементов, перекрывать их или прорезываться под углом. Подобное смещение нарушает контакт с антагонистами, что негативно влияет на жевательную функцию и может привести к преждевременному стиранию коронок соседних зубов.
В ортодонтии выделяют несколько типов дистопии в зависимости от направления отклонения: вестибулярную (в сторону щеки или губы), оральную (в сторону языка или неба), медиальную и дистальную (вдоль ряда). Отдельно рассматривается вертикальная дистопия, при которой зуб смещен вверх или вниз относительно нормальной линии.
Причины
Основные причины дистопии разнообразны и зависят от периода формирования зубочелюстной системы. У детей нарушение часто связано с наследственными особенностями строения челюсти и соотношением ее размеров с количеством зубов. Если челюсть небольшая, а зачатков слишком много, то часть из них не может занять правильное положение.
Немалую роль играют вредные привычки, такие как сосание пальца, прикусывание губ или длительное использование пустышки. Они изменяют давление на растущие челюсти и способствуют смещению зубов.
К факторам, провоцирующим развитие дистопии, также относятся:
- ранняя или, наоборот, задержанная смена молочных зубов;
- травмы челюсти, приводящие к изменению направления роста зачатка;
- хронические воспаления в области полости рта, особенно в период активного формирования костной ткани;
- преждевременное удаление молочных зубов, вызывающее миграцию соседних элементов и дефицит места для постоянных;
- врожденные аномалии челюстей и нарушения эмбрионального развития зубных фолликулов;
- наличие сверхкомплектных зубов, мешающих нормальному прорезыванию постоянных.
У взрослых дистопия нередко проявляется при прорезывании зубов мудрости. Недостаток пространства приводит к тому, что они растут под углом, упираясь в соседние зубы или слизистую оболочку щеки. Подобное положение может вызывать боль, воспаление, затруднение гигиены полости рта и развитие кариеса.
Симптомы
Клинические проявления дистопии зависят от степени и направления смещения. Иногда аномалия практически незаметна, но в большинстве случаев пациенты отмечают эстетический дефект — неправильное положение зубов в ряду, неровность линии улыбки или визуальную асимметрию.
При выраженной дистопии зуб может травмировать слизистую щеки, языка или неба, вызывая болезненные эрозии и хронические раздражения. В местах постоянного трения нередко формируются участки гиперкератоза. Если дистопированный элемент препятствует нормальному смыканию челюстей, развивается неправильный прикус, что приводит к повышенной нагрузке на жевательные мышцы и височно-нижнечелюстной сустав.
Из-за труднодоступности атипично расположенных участков нарушается гигиена полости рта, что создает благоприятные условия для скопления зубного налета и размножения бактерий. Впоследствии это может привести к воспалению десен, развитию кариеса соседних зубов и пародонтальных заболеваний.
У детей дистопированные зубы способны влиять на формирование речи и дыхания, особенно если отклонение связано с аномалиями прикуса. При локализации в области неба или языка возможно затруднение произношения отдельных звуков и изменение тембра голоса.
В некоторых случаях наблюдается боль при жевании, ощущение давления или онемение из-за воздействия на нервные волокна. При прорезывании зубов мудрости дистопия нередко сопровождается воспалением мягких тканей, отеком и повышением температуры тела, что требует стоматологического осмотра и при необходимости — удаления дистопированного зуба.
Разновидности
Дистопия проявляется в нескольких клинических вариантах, зависящих от направления и степени смещения зуба. Чаще всего выделяют вестибулярную дистопию, при которой элемент смещается в сторону щеки или губы, и оральную — в направлении языка или неба. Возможны медиальные и дистальные отклонения вдоль зубного ряда, а также вертикальные смещения, когда коронка расположена выше или ниже нормальной линии смыкания. Условно отдельно рассматривают полную ретенцию и частичную ретензию: при ретенции зуб остается частично или полностью скрытым в мягких тканях либо костной ткани, что меняет клиническую картину и тактику лечения.
Особую категорию составляют дистопии зубов мудрости, которые при недостатке места в челюсти часто прорезываются под углом, вызывая давление на соседние элементы и нарушая положения зубов. Вестибулярные смещения чаще приводят к эстетическим нарушениям и травме слизистой, оральные — к нарушению артикуляции и затруднениям при очищении поверхностей. Вертикальная дистопия влияет на смыкание и может сопровождаться преждевременным контактом и избыточной нагрузкой на отдельные коронки.
Осложнения
При длительной дистопии возрастает риск травмы слизистой щеки, языка или неба, что приводит к хроническим язвам, очагам воспаления и присоединению вторичной инфекции. Неправильные контакты зубов вызывают перераспределение жевательной нагрузки, преждевременное стирание коронок и патологическую подвижность, а также развитие височно-нижнечелюстных нарушений при длительном нарушении прикуса.
Одним из серьезных последствий является резорбция корней соседних зубов и потеря костной опоры, что существенно усложняет прогноз и может требовать комбинированного хирургического и ортодонтического подхода, включая риск формирования кистозных полостей и перикоронита. Периокоронарные воспаления при дистопии зубов мудрости часто приводят к болевому синдрому и ограничению открывания рта, а также к распространению инфекции в окружающие ткани. Комплексный подход снижает частоту осложнений и улучшает долгосрочный прогноз.

Диагностика
Диагностика основывается на комплексном обследовании, включающем подробный клинический осмотр и рентгенологические методы. Врач оценивает форму коронки, направление оси зуба, соотношение корня и коронки, наличие контактов с соседними зубами и влияние на прикус. Панорамная рентгенография (ортопантомограмма) дает обзорную картину всех зачатков и прорезавшихся зубов. При необходимости уточнения положения и взаимоотношений с анатомическими структурами применяется компьютерная томография, обеспечивающая трехмерное представление и точные измерения.
Важна оценка стадии корнеобразования, состояния пародонта и наличия патологических образований (кист, гранулем), способных осложнять терапию. Проводится регистрация функциональных нарушений: изменение смыкания, болезненность при накусывании, наличие язв и травматических зон на слизистой. Для планирования ортодонтического перемещения выполняют моделирование на диагностических моделях или цифровое моделирование, при котором прогнозируют траекторию движения, контролируют риск резорбции корней соседних зубов и рассчитывают сроки коррекции.
Лечение
Тактика лечения подбирается индивидуально с учетом типа дистопии, возраста пациента, стадии корнеобразования и сопутствующих проблем. Если положение корня и состояние пародонта позволяют, предпочтение отдают сохранению зуба в зубном ряду с последующей ортодонтической репозицией.
Ортодонтическая стратегия включает создание пространства для перемещения, фиксацию тяги и последовательное выравнивание с использованием брекет-систем или съемных аппаратов. Применяют сегментарные дуги, силиконовые или металлические тяги, а при необходимости используют мини-имплантаты как опору для направленного перемещения без смещения опорных зубов.
При частичной или полной ретенции широко практикуют хирургическое обнажение коронки с фиксацией ортоэлемента: хирург удаляет преграждающие ткани или часть кости, фиксирует кнопку или брекет на коронке, после чего ортодонт постепенно выводит зуб в ряд.
Хирургическое удаление рассматривают при отсутствии перспектив удержания зуба, при выраженной ретенции, при угрозе повреждения соседних зубов или при хронических инфекционных процессах. Удаление дистопированного зуба показано также при кистозных изменениях и при невозможности обеспечить безопасное ортодонтическое перемещение.
В сложных случаях оптимален комбинированный подход: хирург устраняет анатомическое препятствие, затем ортодонт выполняет коррекцию положения, а при необходимости реставратор восстанавливает анатомию коронки для восстановления функции и эстетики. У взрослых при значительных скелетных деформациях дополнительно могут потребоваться ортогнатические вмешательства после подготовки ортодонтическими средствами.
При любом варианте лечения ключевыми являются предварительное рентгенологическое планирование, оценка рисков резорбции корней, мониторинг состояния пародонта и регулярные контрольные осмотры. Важная составляющая успеха — соблюдение пациентом правил гигиены полости, устранение вредных привычек и координация действий команды специалистов: ортодонта, стоматолога-хирурга, пародонтолога и при необходимости логопеда.
Профилактика
Профилактика направлена на раннюю диагностику и минимизацию факторов риска. Регулярные стоматологические осмотры и рентгенологический контроль в период смены молочных зубов позволяют выявить склонность к смещению зачатков и принять интерцептивные меры.
При выявлении места недостаточно для прорезывания показано создание пространства с помощью ортодонтических аппаратов или раннее удаление молочных зубов, препятствующих нормальному положению постоянных, что особенно обосновано при смещении клыков.
Важна активная работа по поддержанию эффективной гигиены полости и регулярное проведение профессиональной гигиенической чистки и реминерализующих мероприятий. Необходимо раннее привлечение ортодонта для оценки риска смещения зубов и совместное планирование наблюдения и интервенций с хирургом и пародонтологом.
Список литературы
Гаспарян К.К. Клинические наблюдения при дистопии зачатков зубов. // КСТОМ. – 2022.
Литсас Г. Ранняя дистопия клыков верхней челюсти: обзор литературы. // The Open Dentistry Journal. – 2011.
Бедойя М.М., Хартвелл Г. Диагностика и лечение ретинированных и дистопированных клыков верхней челюсти. // Journal of Clinical Orthodontics. – 2009.
Черауло С. Современные подходы к лечению дистопированных клыков верхней челюсти. // International Journal of Environmental Research and Public Health. – 2025.
Манчини А. Систематический обзор хирургических и ортодонтических методов коррекции ретинированных зубов. // BMC Oral Health. – 2025.
Колесов В.Г., Зиновьева А.В. Ортодонтическое лечение нарушений положения зубов у детей и подростков. // Стоматология. – 2023; 102(1): 45–52.
Наши врачи
Цены
Прием (осмотр, консультация) врача-ортодонта первичный |
1 500 руб. |
Прием (осмотр, консультация) врача-ортодонта повторный |
2 000 руб. |
Прием (осмотр, консультация) врача-ортодонта, к.м.н. первичный, амбулаторный |
3 700 руб. |
Прием (осмотр, консультация) врача-ортодонта, к.м.н. повторный, амбулаторный |
3 500 руб. |
Прием (осмотр, консультация) врача-стоматолога детского первичный (ортодонта) |
1 500 руб. |
С полным прайс-листом можно ознакомиться в регистратуре или задать вопрос по телефону +7 (4962) 63-86-87
* Администрация клиники принимает все меры по своевременному обновлению размещенного на сайте прайс-листа, однако во избежание возможных недоразумений, советуем уточнять стоимость услуг в регистратуре или в контакт-центре по телефону +7 (4962) 63-86-87.
Размещенный прайс не является офертой. Медицинские услуги оказываются на основании договора.
