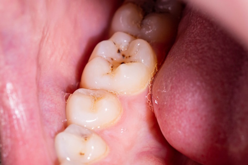
Деминерализация эмали