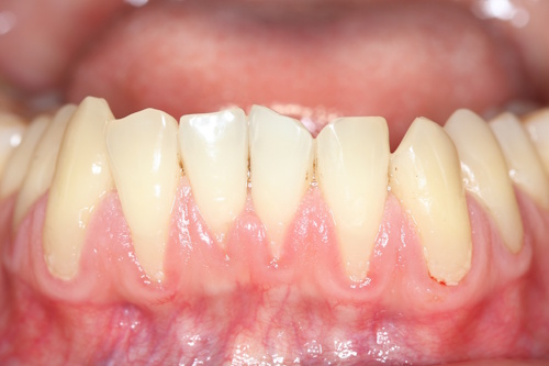
В отдельных случаях десна выглядит так, словно «надулась» или «вздулась» возле конкретного зуба, а иногда отек распространяется на большую область, захватывая щеки и другие участки полости рта. Симптом может быть как локальным, связанным с воспалением одного зуба, так и проявлением общего инфекционного процесса.
Заболевания
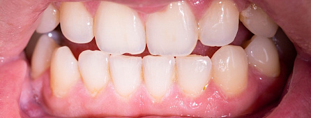
Чаще всего опухание десны связано с воспалительными заболеваниями тканей полости рта. Наиболее распространенной причиной является гингивит — поверхностное воспаление десневого края, возникающее из-за скопления зубного налета и размножения бактерий. Если процесс не остановить, он может перейти в пародонтит, при котором воспаление поражает связки и костную ткань, удерживающую зуб. Это состояние приводит к образованию пародонтальных карманов, подвижности зубов и риску их потери.
Еще одна частая причина — периодонтит, при котором инфекция проникает к корню зуба. В этом случае десна обычно распухает локально возле проблемного зуба, образуя ограниченный отек или «шишку». Подобное состояние нередко называют флюсом. Помимо этого, отек может быть связан с кистой, абсцессом, травмой слизистой или аллергической реакцией на стоматологические материалы.
Важно учитывать, что отек десны не всегда обусловлен проблемой в полости рта. Иногда это проявление системных заболеваний: сахарного диабета, нарушений кровообращения, сниженного иммунитета. В таких случаях десна опухает часто и без явных местных причин, что требует комплексного обследования организма.
Диагностика
При появлении симптома необходимо обратиться к стоматологу для точного установления причины. Врач проводит клинический осмотр полости рта, оценивает состояние десен, наличие налета, зубного камня, карманов и подвижности зубов. Важным этапом является сбор анамнеза: когда впервые появился отек, сопровождается ли он болью, были ли ранее стоматологические вмешательства или травмы.
Для уточнения диагноза применяются инструментальные методы. Наиболее информативным является рентгенография, которая позволяет выявить воспаление у корней, наличие кист или абсцессов. В ряде случаев используется ортопантомография или компьютерная томография для оценки состояния костной ткани и распространенности процесса. При подозрении на системные нарушения пациенту могут назначить общий анализ крови, уровень глюкозы и другие лабораторные исследования.
Грамотная диагностика позволяет отличить простой гингивит от более опасных заболеваний — пародонтита или периодонтита, а также выявить осложнения, такие как абсцесс или флюс. Только после этого врач может определить оптимальные методы лечения и профилактики.
Виды и классификация
Отек десны характеризуется различными клиническими формами, которые отражают и происхождение, и прогноз состояния. По распространению выделяют локализованный и диффузный отек: локализованный чаще наблюдается у одного зуба при ограниченной инфекции или механическом раздражении, диффузный захватывает большие участки полости рта и обычно связан с системными причинами или медикаментозной гиперплазией. По течению различают острое воспаление с быстрым появлением боли и покраснения и хроническую форму с медленным нарастанием объема ткани и изменением ее структуры.
По морфологическому признаку различают инфильтративный (серозно-воспалительный) отек, при котором ткани рыхлые, теплые и болезненные, и гиперпластический (фиброзный) вариант, когда превалирует разрастание соединительной ткани и десна выглядит утолщенной, часто закрывая шею зуба. Фиброзная гиперплазия характерна для длительного раздражения протезами, ортодонтическими конструкциями или при длительном медикаментозном влиянии.
Клиническая классификация также учитывает этиологию: воспалительные процессы (включая гингивит и пародонтит), периапикальные образования и периокоронит, лекарственно-индуцированные гиперплазии и аллергические реакции. Выделение формы и типа опухания важно для определения срочности — серозно-воспалительный процесс часто требует немедленного санационного вмешательства, тогда как фиброзная гиперплазия планируется и корректируется после устранения причин.
К какому врачу обращаться
Когда опухла десна и наблюдается выраженная болезненность, кровоточивость или выделение гноя, первым шагом является визит к стоматологу общей практики для первичного осмотра и профессиональной гигиены. Врач оценит клинику, проведет пародонтальную диагностику, проверит подвижность зубов и прицельно снимет перiapикальную рентгенограмму или направит на ортопантомограмму для поиска источника инфекции. При подозрении на распространение процесса может потребоваться КТ для уточнения распространенности и планирования вмешательства.
Если после первичного лечения опухания отек не регрессирует или имеются глубокие пародонтальные карманы, показана консультация пародонтолога: этот специалист выполняет глубокую чистку (скейлинг и планирование корней), кюретаж, пародонтальную пластику и при необходимости реконструктивные вмешательства.
При вовлечении корня зуба и необходимости лечения корневых каналов нужен эндодонтист. В случаях выраженного гнойного процесса, распространения на щека или угрозы дыхательных путей — челюстно-лицевой хирург или экстренная госпитальная помощь. При подозрении на системные причины (метаболические нарушения, заболевания крови, беременность) стоматолог направит к терапевту или профильному специалисту для сопутствующего обследования.
Причины возникновения
Причины опухания десны многогранны и часто сочетаются. На первом месте по частоте стоит накопление бактериального налета и образование зубного камня при недостаточной гигиене, что провоцирует воспаление десневого края и развитие гингивита с последующим риском перехода в пародонтит при запущенности.
Локальные очаги инфекции, связанные с поражением пульпы или формированием периапикального абсцесса, приводят к ограниченному болезненному отеку; в таких случаях десна часто надувается возле зуба, появляется пульсирующая боль и может образоваться свищ с выделением гноя — для подтверждения источника инфекции и оценки глубины поражения применяют рентгенографию и, при необходимости, КТ.
Системные и физиологические факторы существенно влияют на риск и выраженность опухания: гормональные изменения, в частности в период беременности, усиливают сосудистую реактивность и способствуют опуханию и кровоточивости десны. Нарушения обмена веществ и иммунитета, например сахарный диабет, снижают сопротивляемость инфекциям и замедляют восстановление тканей. Тяжелый дефицит витамина C приводит к рыхлости и кровоточивости десен при цинге.
Медикаментозная гиперплазия десны — клинически значимая причина опухания: при длительном приеме отдельных групп препаратов наблюдается избыточный рост десневой ткани, что осложняет уход и провоцирует вторичное воспаление. Этот механизм хорошо описан в профильных обзорах и требует совместной коррекции терапии с лечащим врачом.
Распространенные связанные патологии
Отек десны часто не бывает одиночным явлением — он обычно сопровождает ряд стоматологических и общих заболеваний. Наиболее частая причина — гингивит, когда вследствие накопления зубного налета и зубного камня развивается поверхностное воспаление десневого края, проявляющееся покраснением, кровоточивостью и опуханием.
При прогрессировании процесса поражаются пародонтальные связки и кость, развивается пародонтит с образованием пародонтальных карманов, подвижностью зубов и стойким отеком. Локальные очаги инфекции у корня зуба приводят к периапикальному абсцессу — клинически это часто выглядит как болезненное припухание в области конкретного зуба, иногда с образованием свища и выделением гноя (в народе такое состояние часто называют флюсом).
При прорезывании зубов мудрости нередко возникает периокоронит с выраженным локальным отеком и ограничением открытия рта. Кроме того, опухание десны может сопровождать периимплантиты у пациентов с имплантатами, герпетические инфекции слизистой, хронические язвенно-некротические процессы и редкие доброкачественные или злокачественные новообразования. В ряде случаев значительную роль играют системные факторы — нарушения обмена (например, сахарный диабет), гормональные изменения и иммунные расстройства, которые ухудшают реактивность тканей и провоцируют частые рецидивы.
Мнение эксперта
Ранняя диагностика и комплексный подход позволяют быстро устранить причину опухания десны и минимизировать риск осложнений. Важны своевременная профессиональная гигиена, устранение локального очага инфекции и коррекция сопутствующих факторов — контроля гликемии, коррекции ортопедических конструкций и согласования с лечащим врачом по поводу возможной лекарственной гиперплазии.
Пациентам рекомендуется избегать самостоятельных глубоких манипуляций в области воспалившейся десны и при появлении выраженной боли, повышения температуры или быстро нарастающего отека незамедлительно обратиться к стоматологу для оценки и планирования лечения.

Лечение
Тактика терапии зависит от причины и степени выраженности воспалительного процесса. При поверхностном гингивите достаточно профессиональной чистки с удалением налета и зубного камня, инструктажа по домашней гигиене и динамического наблюдения. Эти меры обычно приводят к регрессу опухания и кровоточивости. Для удаления отложений под десневым краем и сглаживания корневых поверхностей применяют скейлинг и планирование корней (deep cleaning), что создает благоприятные условия для заживления и предотвращает дальнейшее развитие пародонтита.
Если источник отека — периапикальный абсцесс, приоритетом является санация очага. Вскрытие и дренирование накопившегося содержимого, эндодонтическое лечение корневых каналов при возможности сохранения зуба либо экстракция при нереконструируемом поражении с сопутствующим промыванием и санацией раны. В некоторых случаях выполняется сочетанное хирургическое вмешательство для санации окружающих тканей.
Решение о назначении системных антибактериальных средств принимают с учетом распространенности инфекции, наличия общих сопутствующих заболеваний и риска осложнений. По современным рекомендациям консервативное и своевременное стоматологическое лечение зачастую важнее заместительной антибиотикотерапии, и антибиотики не всегда необходимы при локализованных внутриполостных воспалениях у иммунокомпетентных взрослых.
При фиброзной гиперплазии десны, связанной с длительным раздражением или медикаментозным эффектом, главными шагами являются устранение раздражающего фактора, профессиональная санация и, при необходимости, хирургическая коррекция избыточной ткани. В случаях лекарственно-индуцированной гиперплазии важна координация со смежными специалистами для оценки возможности изменения лекарственной терапии. Одновременно необходим строгий контроль гигиены, так как бактериальная инфламмация усугубляет разрастание десневой ткани.
Осложнения
Отек десны без лечения может привести к формированию периапикального абсцесса, потере зуба и распространению инфекции в глубокие фасции с развитием людвиговой ангины, которая угрожает дыхательным путям и может осложняться сепсисом.
При распространении возможны медиастинит, эмпиема легкого и тромбоз кавернозного синуса. Своевременная санация и дренирование резко снижают эти риски. При выраженной инфекции решение о назначении системной антибактериальной терапии и госпитализации принимают с учетом объема поражения и сопутствующих заболеваний. При наличии системных нарушений лечение координируют с терапевтом или эндокринологом, так как общая патология влияет на исход.
Регулярные визиты для поддерживающей терапии и контроль домашней гигиены существенно снижают риск рецидива. Своевременное обращение — ключ к благоприятному исходу.
Источники
Трякин А.А., Бесова Н.С., Волков Н.М. и соавт. — Рак пищевода и пищеводно-желудочного перехода. Практические рекомендации RUSSCO. Злокачественные опухоли, 2024;14(3s2):221–242.
Трякин А.А., Бесова Н.С., Волков Н.М., Гладков О.А., Карасева В.В., Сакаева Д.Д. и соавт. — Практические рекомендации по общим принципам проведения противоопухолевой лекарственной терапии. Злокачественные опухоли: Практические рекомендации RUSSCO, 2021;11(3s2):23–35.
Трякин А.А., Бесова Н.С., Волков Н.М., Гладков О.А., Карасева В.В., Сакаева Д.Д., Страдаева И.Ю., Фадеева Н.В. — Практические рекомендации по общим принципам проведения противоопухолевой лекарственной терапии. 2020; стр. 26–39.
Янкин А.В. — Рак пищевода: от статистики к диагностике. Практическая онкология, 2003;4(2):61–65.
Мельников О.Р. — Рак пищевода: клиническая картина и стадирование заболевания. Практическая онкология, 2003;4(2):66–69.
Вопросы и ответы
Что делать, если опухла десна
При выраженной боли, отеке или гнойных выделениях обратитесь к стоматологу, до осмотра избегайте прогреваний и агрессивных полосканий.
Сколько проходит опухшая десна?
После устранения причины отек обычно уменьшается за несколько дней, при абсцессе или хирургическом вмешательстве восстановление может быть дольше.
Что делает стоматолог при опухшей десне?
Осмотр, рентген, санация очага, при необходимости вскрытие и дренирование абсцесса, профессиональная гигиена и план лечения с учетом сопутствующих факторов.