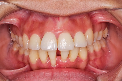
Чаще всего рыхлая десна вокруг зуба или мягкая десна возле зуба сопровождается дополнительными признаками. Пациенты отмечают болезненность при надавливании, неприятный запах изо рта, появление кровоточивости во время чистки зубов, а также ощущение, будто зубы стали менее устойчивыми.
Заболевания
Рыхлые десны чаще всего указывают на развитие воспалительных и дистрофических процессов. Наиболее распространенными патологиями, сопровождающими этот симптом, являются:
- Гингивит — воспаление десневого края, которое проявляется покраснением, отеком, кровоточивостью и неприятным запахом. При отсутствии лечения болезнь переходит в более тяжелую форму.
- Пародонтит — хронический процесс, при котором воспаление распространяется глубже, затрагивает связочный аппарат зуба и костную ткань. Именно при пародонтите десны становятся рыхлыми, зубы начинают шататься, возможна их постепенная утрата.
- Рецессия десны — смещение десневого края в сторону корня зуба, из-за чего оголяются корни и появляется дискомфорт при приеме пищи. Визуально слизистая кажется истонченной и менее плотной.
- Травматические повреждения тканей — механические травмы при слишком жесткой чистке, ношении неправильно подобранных протезов или брекетов могут вызывать повреждения слизистой и локальное ее размягчение.
- Системные заболевания — сахарный диабет, гормональные нарушения, дефицит витаминов и минералов также могут приводить к изменению структуры мягких тканей и снижению их устойчивости к внешним факторам.
Важно учитывать, что рыхлая слизистая во рту может быть как следствием локальных проблем полости рта, так и признаком общих нарушений в организме. Именно поэтому для постановки точного диагноза требуется профессиональная диагностика.
Диагностика
Определение причин, по которым десна стала рыхлой, требует комплексного обследования в условиях стоматологии. На первом приеме врач проводит визуальный осмотр полости рта, оценивает состояние мягких тканей, наличие зубного налета и камня, глубину пародонтальных карманов. Для уточнения диагноза применяются дополнительные методы:
- Рентгенография зубов и челюсти — позволяет выявить изменения костной ткани, степень резорбции альвеолярного отростка и вовлечение корней в патологический процесс.
- Пародонтологическое зондирование — измерение глубины карманов, определение подвижности зубов и степени разрушения связочного аппарата.
- Лабораторные исследования — включают анализ крови для выявления воспалительных маркеров, а также микробиологическое исследование налета и десневой жидкости для определения состава микрофлоры.
- Компьютерная томография — применяется при сложных случаях, когда требуется максимально точная оценка состояния тканей.
Своевременная диагностика позволяет определить не только степень выраженности симптома, но и выявить заболевание на ранней стадии. Это дает возможность подобрать правильные методы лечения и предотвратить осложнения, такие как потеря зубов или хронические инфекции полости рта.
Виды и классификация
Рыхлые десны — клинический симптом, сопровождающий различные патологии пародонта и слизистой полости рта. Для выбора адекватной тактики важно понимать, с каким типом процесса имеет дело врач: это может быть обратимый поверхностный воспалительный процесс или уже деструктивное поражение опорных тканей зуба. Современная международная классификация 2017 года ввела многоуровневый подход, основанный на стадиях и градациях активности и тяжести.
Стадии отражают глубину и масштаб разрушения (от начальной потери прикрепления до выраженной утраты костной опоры и функциональных нарушений), а градации оценивают скорость прогрессирования и сопутствующие риски. Такой подход помогает связать клиническое состояние с тактикой лечения и прогнозом.
С клинической точки зрения выделяют несколько форм:
- гингивит — обратимое поверхностное воспаление десны с покраснением, отеком и кровоточивостью, но без разрушения костной опоры;
- пародонтит — деструктивный процесс с образованием пародонтальных карманов, резорбцией альвеолярной кости и повышенной подвижностью зубов.
Есть также некротизирующие поражения, быстро прогрессирующие у ослабленных пациентов, и состояния с доминирующей рецессией десны, когда край десны смещается к корню и оголяет корень.
К какому врачу обращаться
Если вы заметили рыхлую десну вокруг зуба или изменение консистенции слизистой, первым специалистом для визита служит стоматолог общей практики или терапевт-стоматолог. На первичном приеме выполняют визуальную оценку, измеряют глубину пародонтальных карманов, определяют подвижность зубов и при необходимости проводят профессиональную гигиену и рентгенографию.
При подтверждении пародонтита или при наличии глубоких карманов и костных дефектов пациента направляют к пародонтологу — специалисту по лечению заболеваний пародонта. Пародонтолог выполняет глубокое поддесневое очищение, планирование корневых поверхностей, а при необходимости проводит хирургические вмешательства: лоскутные операции, трансплантацию мягких тканей для устранения рецессий и костную пластику для восстановления объема альвеолярного отростка.
В ряде ситуаций требуется междисциплинарный подход: при подозрении на системную причину рыхлости десен полезна консультация эндокринолога (для исключения или контроля сахарного диабета), гинеколога (при выраженных гормональных колебаниях у женщин), гематолога или иммунолога при нарушениях свертываемости или иммунной защиты. Стоматолог и пародонтолог координируют лечение с другими врачами для исключения или коррекции общесоматических факторов, влияющих на прогноз.
Причины возникновения
Основной и обязательный фактор риска — микробная био-пленка, известная как зубной налет: это сложная экосистема микроорганизмов, которые инициируют и поддерживают воспаление мягких тканей. При недостаточной гигиене налет минерализуется в зубной камень, что затрудняет удаление и служит постоянным источником патогенной микрофлоры, способствующей формированию пародонтальных карманов и деструкции связочного аппарата.
К модифицирующим факторам относятся:
- курение, которое ухудшает микроциркуляцию и снижает ответ тканей на лечение;
- неконтролируемый сахарный диабет, приводящий к нарушению функции нейтрофилов и заживления;
- гормональные изменения (включая беременность и менопаузу), которые усиливают реактивность десны к налету;
- дефицит ряда питательных веществ и витаминов, ослабляющий тканевую устойчивость;
- возраст и генетическая предрасположенность.
Локальные причины — некачественные реставрации, выступающие края коронок и пломб, неправильно подобранные протезы или ортодонтические аппараты — создают ретенционные зоны для налета и травмируют десну.
Также важно учитывать фактор травмы и перегрузки: неправильный прикус, чрезмерная абразивность при чистке зубов или пародонтальная травма способствуют механическому разрушению прикрепления. Некоторые лекарственные группы могут изменять тканевую реакцию, вызывая гиперплазию или повышенную кровоточивость, поэтому врач должен учитывать весь перечень принимаемых препаратов. Комплексное устранение локальных и системных причин — основа профилактики прогрессирования и успеха лечения.
Распространенные связанные патологии
Нарушение плотности и упругости мягких тканей часто сопровождается рядом сопутствующих проблем, на которые обращают внимание стоматологи и пародонтологи. Пациенты часто описывают симптом разными фразами: рыхлые десны, рыхлая десна вокруг зуба, мягкая десна возле зуба, рыхлая слизистая во рту.
Наиболее частой сопутствующей патологией является гингивит — начальная стадия воспаления десневого края, при которой наблюдаются покраснение, отек и кровоточивость при чистке. При прогрессировании воспаление проникает глубже и формируется пародонтит с образованием пародонтальных карманов, резорбцией костной ткани и повышенной подвижностью зубов — это состояние требует более сложного восстановления.
Кроме того, рыхлая слизистая во рту часто сочетается с хроническим наличием зубного налета и зубного камня, что поддерживает микробный очаг и препятствует заживлению. Периимплантит по клинической картине напоминает пародонтит и способен проявляться рыхлостью тканей возле импланта, кровоточивостью и устойчивым воспалением.
Локальные механические факторы — выступающие края реставраций, плохо прилегающие коронки, ортодонтические аппараты — создают ретенционные зоны и травмируют десну, усугубляя процесс. Системные состояния, в первую очередь неконтролируемый сахарный диабет и никотиновая зависимость, ухудшают микроциркуляцию и заживление и снижают ответ тканей на лечение.
Мнение эксперта
Ранняя диагностика и комплексный подход позволяют приостановить деструктивный процесс и сохранить опорные структуры зуба с минимальным объемом вмешательств. Врач отмечает, что ключевой задачей является своевременное удаление зубного налета, коррекция локальных причин и совместная работа со специалистами при наличии сопутствующих заболеваний. Самолечение и чрезмерное механическое воздействие на десну без оценки специалиста часто усиливают рецессию и ускоряют утрату ткани.

Лечение
Лечебная тактика строится поэтапно и начинается с консервативных мер, направленных на снижение бактериальной нагрузки и создание условий для восстановления мягких тканей. Первый этап включает обучение гигиеническим навыкам, профессиональную гигиену полости рта, удаление налета и камня и масштабирование с планированием корневых поверхностей — стандартную процедуру при гингивите и начальном пародонтите, доказанную как базовую терапию. Переоценка состояния после первичной санации позволяет решить, достаточно ли достигнутого эффекта или требуется следующий этап.
Если после консервативной терапии сохраняются глубокие карманы и патологические костные дефекты, применяются хирургические вмешательства. Лоскутные операции и открытый кюретаж дают доступ для удаления инфицированного содержимого карманов и подготовки корневых поверхностей. Для восстановления объема кости применяют регенеративные методики: подсадка костных материалов, использование биосовместимых мембран для направления регенерации тканей и аутологичные или коллагеновые трансплантаты для восстановления мягких тканей. Эти подходы описаны в современных клинических руководствах как опции для реконструкции дефектов. Хирургические решения планируются индивидуально с учетом формы и стадии поражения.
В комплекс лечебных мер входит коррекция окклюзии, шинирование подвижных зубов для временной стабилизации, ортодонтическое выравнивание при перегрузке и реставрационные вмешательства для устранения ретенционных краев пломб и коронок. При необратимых поражениях и неустранимой инфекции рассматривают удаление зуба с последующим планированием протетической или имплантологической реабилитации после тщательной санации полости рта.
Осложнения
При запущенном процессе рыхлые десны и прогрессирующий пародонтит приводят к потере опорной костной ткани и, как следствие, к подвижности и утрате зубов, такой исход отмечается в клинических руководствах и обзорах. Воспаление вокруг имплантов может перейти в пери-имплантит, сопровождающийся утратой остеоинтеграции и возможной потерей импланта.
Системные последствия включают повышенный риск сердечно-сосудистых событий и ухудшение контроля гликемии при сахарном диабете — это связывают с системным воспалением и бактериемией. У беременных женщин выраженное пародонтальное воспаление ассоциируется с повышенным риском преждевременных родов и низкой массой при рождении, что требует внимания в период планирования и ведения беременности.
Источники
- Mayo Clinic. Periodontitis — описание, симптомы и последствия. 2023. European Federation of Periodontology;
- Consensus reports on periodontitis and cardiovascular links. 2019. Daalderop LA et al. Periodontal disease and pregnancy outcomes. J Clin Periodontol. 2017.
- Ting M. Peri-implantitis: обзор клинических исходов. 2024.
- Herrera D. и соавт. Связь пародонтальных заболеваний с системными болезнями. 2024.
Вопросы и ответы
Почему мои десны выглядят рыхлыми?
Чаще всего это реакция на хроническое воспаление из-за зубного налета и камня, рыхлость может сопровождаться кровоточивостью и чувством слабости ткани возле зуба.
Чем полоскать рот для укрепления десен?
Промежуточные полоскания с рекомендованными стоматологом антисептиками и солевыми растворами помогают снизить бактериальную нагрузку, но они не заменяют профессиональную гигиену и лечение.
Что лучше укрепляет рыхлые десны?
Регулярная профессиональная гигиена, корректная домашняя чистка, устранение ретенционных факторов и контроль сопутствующих заболеваний — основа укрепления мягких тканей.